L’ingestion d’une pile bouton (pile électrique de montre) est une urgence médicale.
La prise en charge repose sur une reconnaissance rapide et une imagerie médicale (des examens radiologiques) appropriée.
Des complications potentiellement mortelles peuvent survenir moins de 2 heures après l’ingestion de piles bouton.
L'impaction (action d’appliquer fortement) œsophagienne est plus probable chez les enfants de moins de 6 ans et avec des piles de plus de 20 mm de diamètre.
Ce sont ceux qui présentent le risque le plus élevé de complications.
Des blessures potentiellement mortelles peuvent survenir des semaines après le retrait d'une pile bouton de l'œsophage.
La présence croissante d'équipements électroniques domestiques a entraîné une augmentation des ingestions de piles bouton (BB) dans la population pédiatrique, avec la morbidité et la mortalité associées.
Les télécommandes, les jeux et les jouets sont les plus fréquemment mis en cause.
Les batteries touchées peuvent provoquer des ulcérations, des perforations et la formation de fistules en quelques heures, pouvant entraîner de graves complications, voire la mort.
L'incidence de l'ingestion de BB est estimée à plus de 11 cas par million aux États-Unis, dont la majorité (53 %) concerne des enfants de moins de 6 ans, qui peut parfois conduire au décès. On ne dispose pas de statistiques marocaines sur cette question.
Il faut rappeler qu’une batterie est une série de cellules électrochimiques dans lesquelles une réaction chimique produit un courant électrique.
Les piles bouton sont des cellules électrochimiques uniques dont le plus connu est la pile au lithium.
Ces batteries peuvent causer des blessures même lorsqu'elles sont apparemment « mortes » et ne sont plus en mesure d'alimenter un équipement, car elles conservent une tension résiduelle.
Comment se produit la blessure par une pile ?
Lorsqu'ils sont ingérés et impactés, les 2 pôles de la pile sont en contact avec la muqueuse environnante. Des réactions chimiques se produisent, entraînant une blessure caustique.

Chronologie montrant la réaction après le placement de deux piles bouton au lithium-ion (BB) de 3 V et d'une pièce de 5 pence sur un tissu simulé (salami).
Que faire, si une ingestion de pile est suspectée ?
Si une ingestion de piles est suspectée, des radiographies simples de face, du cou, de la poitrine et de l'abdomen sont immédiatement indiquées.
Des radiographies du crâne sont indiquées en cas de doute concernant l'insertion nasale ou auditive et des radiographies pelviennes en cas de suspicion d'insertion rectale ou vaginale.
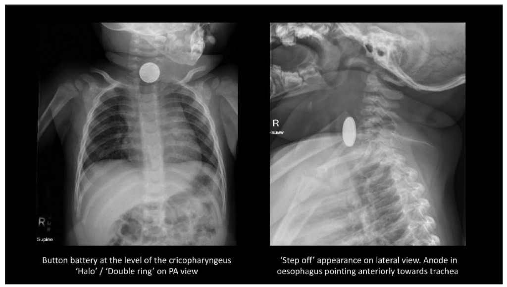
Les BB peuvent ressembler à des pièces de monnaie sur les radiographies.
Les signes radiologiques distinctifs sont la présence d'un « halo » ou d'un « double anneau » sur des incidences radiologiques spécifiques que le médecin spécialiste en imagerie médicale maîtrise parfaitement.

Un BB impacté peut provoquer des lésions tissulaires et ensuite se propager plus loin dans le tractus gastro-intestinal.
C’est pourquoi le médecin traitant doit maintenir un indice de suspicion élevé même si la batterie se trouve au-delà de l’œsophage lors de l’imagerie médicale initiale.
Quelle que soit la position du BB, un enfant présentant des signes potentiellement mortels : respiration sifflante, augmentation du travail respiratoire, étouffement, vomissements de sang, écoulement de sang par l’anus ou par le nez, de méléna, voir une augmentation du rythme cardiaque, justifie une réanimation, la mobilisation d'une équipe spécialisée et un transfert au bloc opératoire.
Si le BB est dans l'estomac, que le délai depuis l'ingestion est inférieur à 12 heures et que l'enfant reste asymptomatique, il peut être surveillé.
Une nouvelle radiographie thoracique peut être réalisée pour garantir le mouvement le long du tractus gastro-intestinal.
Près des trois quarts des piles ingérées disparaissent spontanément en 4 jours, et 99 % disparaissent en 7 à 14 jours.
Si cela ne s'est pas produit, l'équipe spécialisée de gastroentérologie peut retirer la batterie par endoscopie sans recourir à la chirurgie
Des conseils appropriés aux tuteurs, avec des conseils de se présenter immédiatement si des symptômes apparaissent, sont essentiels dans ces scénarios.
Des lésions œsophagiennes peuvent déjà s'être produites et se manifester même si la BB est passée dans l'estomac. Une fistulisation (perforation)peut survenir jusqu'à 28 jours après l'ingestion en raison d'un alcali résiduel ou d'un tissu affaibli et endommagé.
L'atténuation pré-intervention avec du miel et du sucralfate (médicament) ne doit jamais retarder la réalisation d’examens radiologiques adéquats ou le retrait définitif de la pile par voie endoscopique (introduction d’un tube par la bouche ou le nez).
Une fois le BB retiré, l’enfant doit être étroitement surveillé pour détecter toute progression de la lésion œsophagienne.
Il faut garder à l’esprit qu’une multiplication par 7 du risque relatif de morbidité grave secondaire à l’ingestion de BB au cours des 20 dernières années a été rapportée dans plusieurs études internationales.
Cela a conduit à des initiatives de prévention, comme celle de la Société européenne de gastroentérologie, d'hépatologie et de nutrition pédiatriques (ESPGHAN).
Au jour d’aujourd’hui, rien n’est au programme au Maroc, ni auprès du Ministère de la santé ni auprès de sociétés médicales spécialisées.
Dans le monde entier, des groupes de travail ainsi que les familles des personnes concernées ont fait campagne pour que des normes de sécurité autour des BB soient établies dans le droit de la consommation, par exemple aux États-Unis (loi Reese, août 2022).
Les stratégies de prévention comprennent la sensibilisation du public, la liaison avec l'industrie pour fournir des avertissements de sécurité appropriés et le développement de compartiments de batterie plus sûrs dans les produits.
Référence : Fédération Mondiale des sociétés d’anesthésiologistes

